脳腫瘍のMRI



神経膠芽腫(glioblastoma) CE_T1W1_axi_1 CE_T1W1_axi_2  CE_T1W1_sag_1  CE_T1W1_cor_1  DWI_1  DWI_2

退形成性星細胞腫(anaplastic astrocytoma)  CE_T1W1_axi_1 CE_T1W1_axi_2

星細胞腫(astrocytoma)  T2WI_axi_1  FLAIR_axi_1

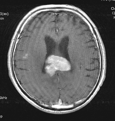
乏突起膠腫(oligodendroglioma)  CE_T1W1axi_1 DWI_1  DWI_2


転移性脳腫瘍(肺転移 :metastatic brain tumor)  T1WI_axi_1  T2WI_axi_1  FLAIR_axi_1  CE_T1W1_axi_1 CE_T1W1_axi_2  DWI_1  DWI_2

転移性脳腫瘍(肺転移) CE_T1W1_axi_1  CE_T1W1_sag_1

転移性脳腫瘍(腎転移) CE_T1W1_axi_1 CE_T1W1_axi_2

多発性骨髄腫(multiple myeloma)  DWI_1  DWI_2


類表皮腫(epidermoid)  T1WI_axi_1  T2WI_axi_1  DWI_1

グロムス腫瘍(頚静脈糸球腫瘍: glomus jagulare tumor)  T1WI_axi_1  T2WI_axi_1  FLAIR_axi_1  CE_T1W1_axi_1

若年性鼻咽頭血管線維腫(juvenile nasopharyngeal angiofibroma)  CE_T1WI_axi_1  CE_T1WI_axi_2


下垂体線種(pituitary adenoma)  CE_T1W1_axi_1 CE_T1W1_axi_2

頭蓋咽頭腫(craniopharyngioma)  CE_T1W1_sag_1 CE_T1W1_sag_2


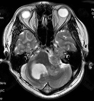
聴神経鞘腫(acoustic tumor(neurinoma))  CE_T1W1_axi_1 CE_T1W1_axi_2

聴神経鞘腫(acoustic tumor(neurinoma): NF2)  T2WI_axi_1  CE_T1W1_cor_1


頭蓋骨腫瘍(osteoma)  CE_T1W1_axi_1 CE_T1W1_axi_2


髄膜腫(後部大脳鎌髄膜腫 :meningioma)  CE_T1W1_axi_1 CE_T1W1_axi_2  CE_T1W1_cor_1  FLAIR_axi_1  FA_1 FA_2

髄膜腫(右蝶形骨稜髄膜腫) CE_T1W1_axi_1 CE_T1W1_axi_2

髄膜腫(右頭蓋底髄膜腫) CE_T1W1_axi_1 CE_T1W1_axi_2

髄膜腫(前部大脳鎌髄膜腫) DWI_1  DWI_2



※脳腫瘍ではありませんが・・・


動静脈奇形(arterio-venous mulformation: AVM)  CE_MRA_1  CE_MRA_2  CE_MRA_3

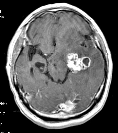
海綿状血管腫(cavanous angioma)  CE_T1W1_axi_1  CE_T1W1_cor_1 

静脈性血管腫(静脈奇形: venous angioma)  CE_T1W1_axi_1  FLAIR_axi_1  FLAIR_axi_2

くも膜嚢胞(arachnoid cyst)  DWI_1  DWI_2